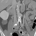
60 year old male patient presented to the hospital with severe pain in the adbomen.
He underwent a CT scan which showed a 5 cm dilatation of his large artery in the abdomen called aorta (saccular infrarenal aortic aneurysm).
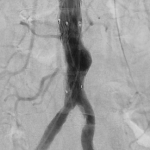
This was treated by interventional radiology using pinhole techniques. A small access was placed in the right groin artery (right CFA) and repair was done endovascularly using a Medtronic Renu cuff. The device was placed percutaneously and the access site closed using Proglide closure device by Abbott.
Whole procedure done under local anaesthetic and completed in 20 minutes. Patient was asymptomatic following the procedure and discharged the following day.




