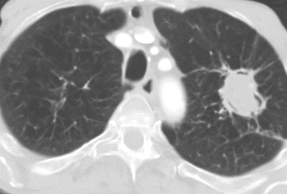
Patient coughing up large amount of blood. 66 year patient with cavitating left lung lesion likely mycetoma and haemoptysis.
CT scan showed a cavitating lesion in the left upper lobe with a filling defect in the middle. Appearances suggestive of an aspergilloma. Patient became unstable due to large volume of haemoptysis.
Selective angiogram of the left bronchial artery shows the abnormal arteries supplying the abnormal area .
Embolisation performed using 500 to 700 micron PVA particles. No filling of the abnormal vessels following the procedure with immediate relief in haemoptysis.


