Thrombolysis of bypass graft
Elderly patient with previous fem distal bypass.Initially presented with a stenosis at proximal anastomosis. This was treated with angioplasty.Two weeks...
Read More
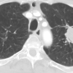
Patient with haemoptysis
Patient coughing up large amount of blood. 66 year patient with cavitating left lung lesion likely mycetoma and haemoptysis. CT scan...
Read More
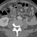
Saccular aortic aneurysm
60 year old male patient presented to the hospital with severe pain in the adbomen.He underwent a CT scan which...
Read More
Study shows a low reintervention rate at five-year follow-up after fibroid embolization
Summary of the studyUterine artery embolization has been shown to be an effective treatment for fibroids. However, there are some...
Read More
Swift Ninja Catheter: Does what it says on the tin
65 year old with a left femoral renal metastasis lesion. Angiograms showing vascularity of the lesion. The two annotated images...
Read More
